Issue #29: PIE is a really weird type of air-leak...
A request!/ PIE summary/ Audrey-Harris conference and more...
A question for you first:
Would you be interested in featuring in a ‘NICUs around the world’ piece? According to our Substack statistics, we have readers from 126 countries (!) as well as every US state. So- it would be GREAT to hear from you! What are your units like? Little traditions you have when babies go home? Things you do to increase staff morale? If you want to share- then please send us an e-mail at talatalksnicu@gmail.com or reply to this newsletter- and we’ll get back to you! Let’s all learn from each other! THANK YOU!!
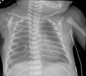
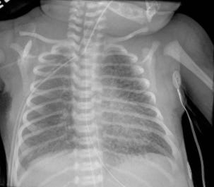
Pulmonary Interstitial Emphysema
Our last video was on PIE. Why do babies get it? How can we try to avoid PIE? How to manage PIE once the diagnosis is made? Watch the video here, if you haven’t seen it yet!
Above: A typical X-ray in an infant with PIE. Note the bubbly lucencies mostly in the left lung. The infant has a chest tube in on the right, so also had a pneumothorax, another type of air leak.
Here is our PDF summary of the video, if you’d like it for your records!
And a few PIE questions:
And the rest:
We had SUCH a great zoom chat (our Super Casual Journal Club) with the membership community last week. It was super fun getting to know so many of you better. This week, we’re starting a new series of videos on key studies in neonatology. (So you don’t have to panic when somebody mentions the TIPP trial, or whatever, again!). If you’d like a few extra nuggets of neonatology in your busy, busy lives- then join our lovely community here. And you’ll get to watch our members only videos: Here!
We all feel like this is true even though it feels scientifically wrong: a child’s biological sex may not be a 50:50 chance!
This editorial in NEJM covers brain-death in pregnancy. Does removing a brain-dead pregnant mother off of life-support constitute an abortion? The politics are complicated, but not as bad as I’d previously assumed….
Not sure why our units are so busy after seeing this statistic….
Come join us at the Audrey Harris Neonatal conference in Arkansas, where I’ll be presenting on seizures. I would LOVE to meet you and share funny and poignant stories!!!
I’m also very excited to hear Sue Ludwig speak. She wrote this fantastic book: Tiny Humans, Big Lessons. Ludwig uses her background as an occupational therapist in the NICU to give huge, important life lessons we can all use. I’ve never read anything like it! Highly recommended.
I’ll be taking my book for Ludwig to sign!! (Although, I don’t usually do very well when I meet people I admire. I was once sitting next to Dr. Papile at an airport gate. We were both returning from the same conference, and I was determined to start a conversation. But- I spent so long trying to come up with a non-corny, non-basic question that I somehow missed my window. Instead, I opened up my massive bag of airport candy and casually offered her a sour gummy. I still cringe about it! Ha!!!)
If you’re looking for a good ‘back-to-school’ feeling then click on over to our Amazon storefront for lots of NICU related goodies. If you purchase anything through the links, all commissions will go to a neonatal charity. (So have at it!)
In that vein, let us know which neonatal charities you’d like us to support?
We hope you’re enjoying this newsletter as much as we enjoy writing it. Please send us a comment with thoughts! We get so few that it’s very exciting when anybody writes anything!!!!
Stay healthy, and we’ll be back in your inboxes in (about!) 2 weeks,
Tala and Arianna






Your article on its not being a 50-50 chance of gender reminded me of a test some statisticians made. Their team flipped coins 350,757 times. In a preprint study posted on arXiv.org, they found coins landed with the same side facing upward as before the toss 50.8 percent of the time. The large number of throws allows statisticians to conclude that the nearly 1 percent bias isn't a fluke. “We can be quite sure there is a bias in coin flips after this data set,” Bartoš says.
Interesting 🤔